When you’ve lost teeth, you may not feel confident in the way your smile looks. Many patients consider dental implants as a cosmetic treatment, however, missing teeth can also affect your overall oral health. Dental implants are a restorative service that promotes the health of your smile while improving its appearance.
Teeth that remain after a tooth is lost will eventually shift to compensate for the gap, and over time, the bone in the jaw can begin to atrophy or deteriorate. Dental implants interrupt atrophying, as they mimic the structure of a natural tooth and eliminate shifting from other teeth. Dental implants can last a lifetime when properly maintained and are durable for normal use.
Whether it’s a single tooth replacement or a whole series of missing teeth, we’ll help you determine the most appropriate dental implant options for your unique situation. During your consultation, we’ll explain the process thoroughly, so you end up completely satisfied, with a gorgeous, complete smile.
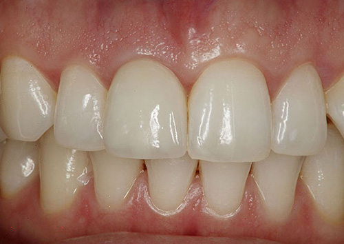
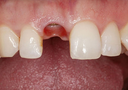
Single Tooth Implants
When you only need to replace a one tooth, a single dental implant is used. It is inserted into the jawbone. Once the implant fuses (Osseointegration) with the Jaw bone, your dentist will take a mold and fabricate a crown. The crown will be screwed (or) cemented on the implant accordingly.

Benefits of dental implants
- Implants offer firm support to dental prosthetics. Dentures, bridges or single teeth attached to the implants won’t slip or shift in your mouth-a very important benefit when eating and speaking.
- This secure fit also helps dental prosthetics feel more natural than typical bridges or dentures.
- Some people may find implant-supported dentures more comfortable than dentures that do not use implants.
- Where teeth are missing, dental implants also help keep the jawbone from shrinking.
- Implants are a good value, because they can last a lifetime with good care.
What is involved in implant placement?
Many kinds of implants are available. Treatment can take only one day, several months or somewhere in between. We can discuss which type of implant is best for you. If you require implant placement, we will refer you to an implant surgeon, typically a periodontist or oral surgeon, who will do implant surgery to place the implant.
Implant treatment usually involves three basic steps:
1. Placement of the implant
We will carefully locate where the implant should be placed using measurements and x-rays. You will be referred to an implant surgeon, typically a periodontist or oral surgeon, to perform the implant surgery and place the implant into the jawbone. You may have some swelling and/or tenderness after surgery. During the healing process, your dentist may tell you to eat soft foods.
2. Healing process
What makes an implant so strong is that the jawbone grows around it and holds it in place. This process, called osseointegration (OSS-e-o-in-te-GRAY-shun), takes time. It may be several months before the implant is completely integrated into the bone. Then you can get the permanent replacement tooth or teeth. In some cases, the implant and temporary replacement teeth can be placed in one visit.
3. Placement of the prosthesis (replacement tooth or teeth)
For a single tooth implant, the dentist custom-makes a new tooth for you, called an implant-supported crown. It is designed to look just like your other teeth. Implant-supported bridges and dentures are also custom-made to look like natural teeth and to fit your mouth. The replacement teeth are attached to the something that is placed in the implant called an abutment.
Replacement teeth usually take some time to make. In the meantime, your dentist may give you a temporary crown, bridge or denture. This will help you eat and speak normally until the permanent replacement teeth are ready.
How Much Do Dental Implants Cost?
The price of the dental implants will depend on the number of implants needed, and other specifics of the surgery. When you meet with your implant dentist, he or she should go over all the costs involved in the procedure.
If you have private health insurance, then a portion of the surgery may be covered. This will depend on the type of insurance and coverage that you have.
Call us at (669) 272-6312 or fill out an appointment form on our website today to schedule a free consultation to discuss the options of getting single tooth implants


